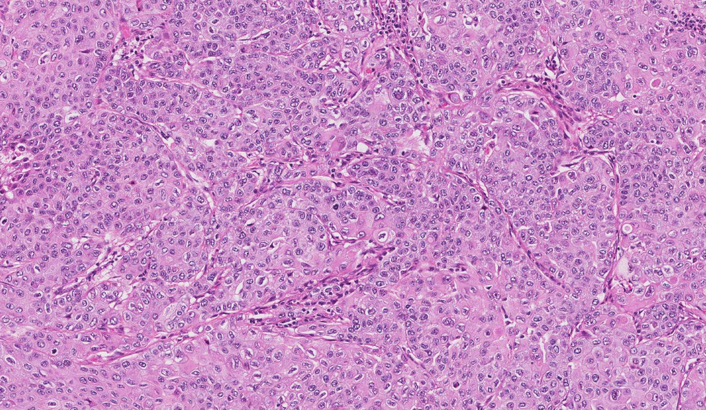
Human Lung Cancer ''Squamous cell carcinoma ''grade I'' of superior lobe of right lung'' ''single section per slide'' 5 slides/pack
Squamous cell carcinoma SCC is a type of non-small cell lung cancer with specialized squamous cells that are normally found at the inside of the lungs.
These cancer cells form a barrier called the epithelium which helps to protect the airways from damage.